Orthodontie chez l’enfant
L’orthodontie chez l’enfant désigne l’ensemble des soins dentaires permettant de corriger les malpositions dentaires ou les anomalies de croissance des mâchoires dès le plus jeune âge. Cette approche intervient souvent bien avant que toutes les dents définitives soient présentes, parfois même dès l’âge de 4 ans. Elle s’inscrit dans une démarche de prévention et d’accompagnement du développement bucco-dentaire.
Ce domaine de la dentisterie va bien au-delà du simple alignement des dents. Il contribue à assurer un bon équilibre fonctionnel de la bouche, à guider la croissance osseuse du visage et à éviter des déséquilibres qui pourraient nuire à la santé générale de l’enfant. En corrigeant les fonctions orales comme la respiration, la mastication, la déglutition ou encore l’élocution, l’orthodontie favorise un développement facial équilibré.

Pourquoi consulter dès le plus jeune âge ?
Dès 4 ans, certains signes peuvent alerter les parents. L’enfant respire-t-il régulièrement par la bouche ? A-t-il du mal à mâcher correctement ? Suce-t-il son pouce de façon prolongée ? Ces habitudes, si elles persistent, peuvent influencer négativement le développement du visage et des mâchoires.
C’est pourquoi une première consultation autour de 4 à 6 ans s’avère parfois utile, même si les dents définitives ne sont pas encore sorties. À cet âge, les os sont plus souples et réactifs aux stimulations. Ainsi, les orthodontistes peuvent intervenir en douceur et orienter positivement la croissance.
De plus, agir tôt évite que certaines anomalies s’aggravent avec le temps. Une action précoce limite souvent la durée et la complexité des traitements nécessaires plus tard. Elle permet aussi de réduire les risques de douleurs, de troubles respiratoires ou de troubles posturaux liés à des déséquilibres oro-faciaux.
En quoi consiste le traitement interceptif ?
Le traitement interceptif vise à rétablir un équilibre fonctionnel et osseux dès l’apparition des premiers signes de désalignement ou de dysfonctionnement. Plutôt que d’attendre l’adolescence pour intervenir, ce type de traitement agit comme un guide pour la croissance faciale.

Les orthodontistes utilisent différents types d’appareils, selon les besoins observés :
- Appareils amovibles fonctionnels, qui encouragent une mastication correcte et stimulent certaines fonctions musculaires.
- Appareils fixes simples, utilisés pour réaligner légèrement les dents ou favoriser une bonne occlusion.
- Éléments de rééducation linguale, lorsque la langue adopte une mauvaise position au repos ou à la déglutition.
En règle générale, ce traitement dure entre 6 et 12 mois. Il n’est ni invasif ni douloureux, et les appareils utilisés s’adaptent au quotidien de l’enfant. La réussite du traitement repose sur un bon suivi, une hygiène dentaire rigoureuse et une coopération de l’enfant.
Un accompagnement dans la durée
Une fois le traitement interceptif terminé, les professionnels de santé assurent un suivi régulier jusqu’à la fin de la croissance. Cela permet de contrôler l’évolution du développement facial et de détecter à temps toute nouvelle anomalie.
Si nécessaire, un traitement orthodontique classique pourra être envisagé à l’adolescence. Toutefois, une intervention précoce bien conduite diminue souvent l’ampleur de ces traitements ultérieurs. Certains enfants n’auront besoin d’aucun autre dispositif par la suite.
Ainsi, cette démarche s’inscrit dans une logique de prévention globale, où chaque étape est adaptée au rythme de l’enfant et à son évolution naturelle.
Quels sont les signes à surveiller ?
Il peut être difficile, en tant que parent, de savoir quand consulter. Cependant, certains signes peuvent signaler la nécessité d’un avis orthodontique :
- Respiration buccale fréquente, surtout la nuit
- Difficultés à mastiquer ou à avaler correctement
- Succion du pouce ou d’une tétine au-delà de 3-4 ans
- Dents qui semblent trop avancées ou décalées
- Mâchoires qui ne ferment pas bien
- Langue qui pousse contre les dents en parlant ou en avalant
- Ronflements, sommeil agité ou fatigue au réveil

Lorsqu’un ou plusieurs de ces signes apparaissent, une consultation permet d’évaluer la situation et d’envisager un éventuel traitement adapté.
Orthodontie enfants : un rôle clé dans le développement
L’équilibre facial et fonctionnel que l’orthodontie vise à atteindre a des répercussions bien au-delà de la cavité buccale. Une respiration nasale fluide favorise un sommeil de qualité, essentiel à la croissance, à la concentration et à l’humeur de l’enfant.
De même, une déglutition correcte prévient les troubles digestifs. Une mastication bien répartie améliore la posture de la tête et du dos. Enfin, un bon alignement dentaire facilite l’hygiène et diminue le risque de caries ou d’inflammations des gencives.
Grâce à une approche globale et fonctionnelle, l’orthodontie chez l’enfant accompagne le développement naturel dans toutes ses dimensions. Elle participe au bien-être physique, psychologique et relationnel de l’enfant.
Fréquence des rendez-vous et rôle des parents
Le traitement orthodontique chez l’enfant nécessite un engagement partagé entre le professionnel de santé, l’enfant et ses parents. En moyenne, les rendez-vous ont lieu toutes les 4 à 6 semaines. Lors de chaque séance, le praticien évalue les progrès et ajuste les dispositifs si besoin.

Les parents jouent un rôle fondamental. Ils accompagnent leur enfant dans le respect des consignes, l’hygiène bucco-dentaire et le port régulier des appareils. Leur soutien favorise la régularité du traitement et rassure l’enfant lorsqu’il rencontre un inconfort.
Par ailleurs, les orthodontistes prennent toujours le temps d’expliquer clairement chaque étape du traitement. Cette transparence crée un climat de confiance et motive les enfants à s’impliquer activement dans leur parcours de soins.
FAQ – Orthodontie enfants
- Un traitement orthodontique est-il nécessaire avant l’adolescence ?
Cela dépend des cas. Si le praticien détecte un déséquilibre fonctionnel ou une anomalie de croissance, une intervention précoce permet souvent d’éviter des complications futures. Sinon, une simple surveillance peut suffire jusqu’à l’adolescence. - Les appareils sont-ils visibles ou gênants ?
Les dispositifs utilisés dans le cadre des traitements interceptifs sont conçus pour rester discrets et confortables. Après quelques jours d’adaptation, la majorité des enfants les acceptent sans difficulté. - Faut-il consulter même si les dents semblent alignées ?
Oui, car certaines anomalies ne se voient pas à l’œil nu. Une respiration buccale ou un décalage des mâchoires, par exemple, peuvent avoir un impact important, même si les dents paraissent droites. - Un traitement orthodontique précoce est-il douloureux ?
Il provoque rarement des douleurs. L’enfant peut ressentir une légère gêne au début, notamment lors de la pose de l’appareil, mais celle-ci disparaît rapidement. - Comment se déroule la première consultation ?
Le praticien effectue un examen clinique, parfois accompagné de photos ou d’empreintes numériques. Il explique ensuite les observations et propose, si besoin, un plan de traitement personnalisé.
Prendre rendez-vous au Cabinet HARMONY à Nyon
L’orthodontie chez les enfants vise à guider la croissance faciale de manière harmonieuse tout en corrigeant les déséquilibres fonctionnels dès leur apparition. Grâce à un traitement interceptif débuté entre 4 et 10 ans, il est possible d’agir efficacement avec des dispositifs adaptés, sur une période courte de 6 à 12 mois. Ce suivi précoce limite souvent le recours à des interventions plus complexes à l’adolescence, tout en améliorant le confort de vie de l’enfant.
Le Cabinet HARMONY, situé à Nyon, accompagne les familles dans une démarche attentive et adaptée à chaque profil. Prenez rendez-vous en ligne dès maintenant pour bénéficier d’un premier bilan orthodontique pour votre enfant, dans un cadre rassurant et professionnel.
À découvrir également : Pédodontie
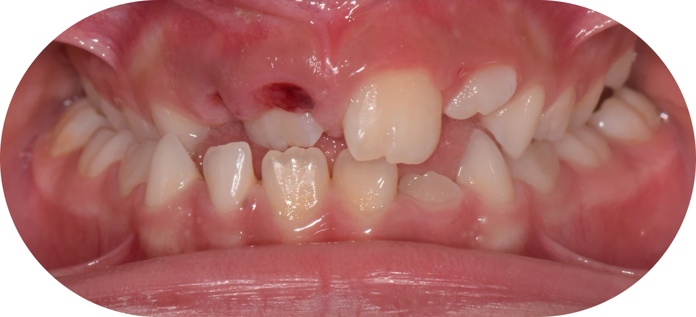
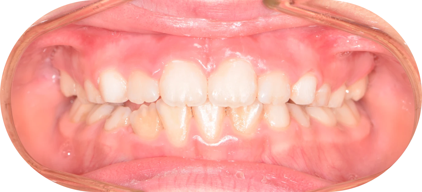
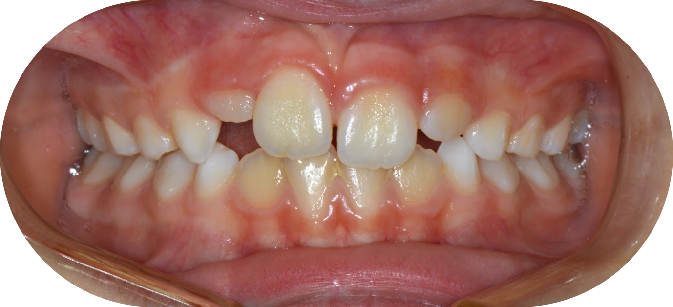
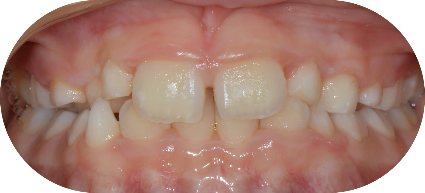
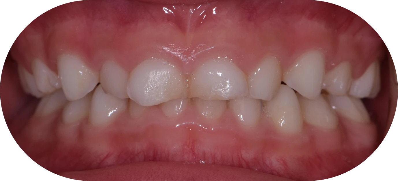
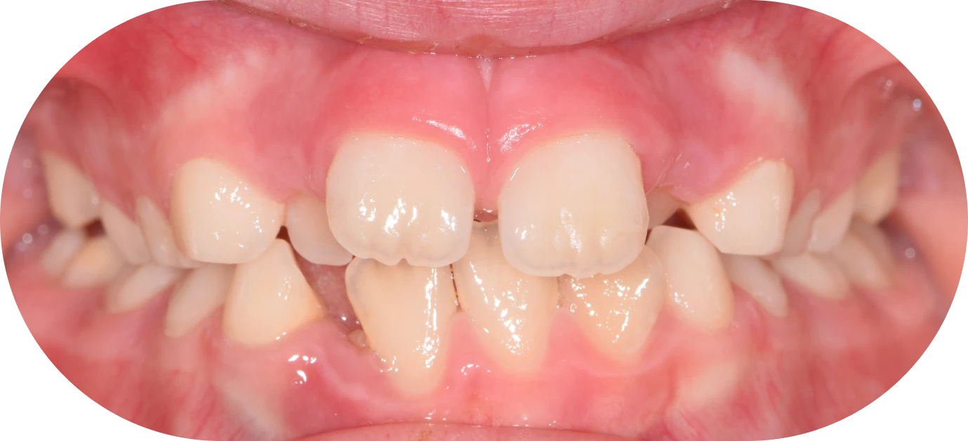
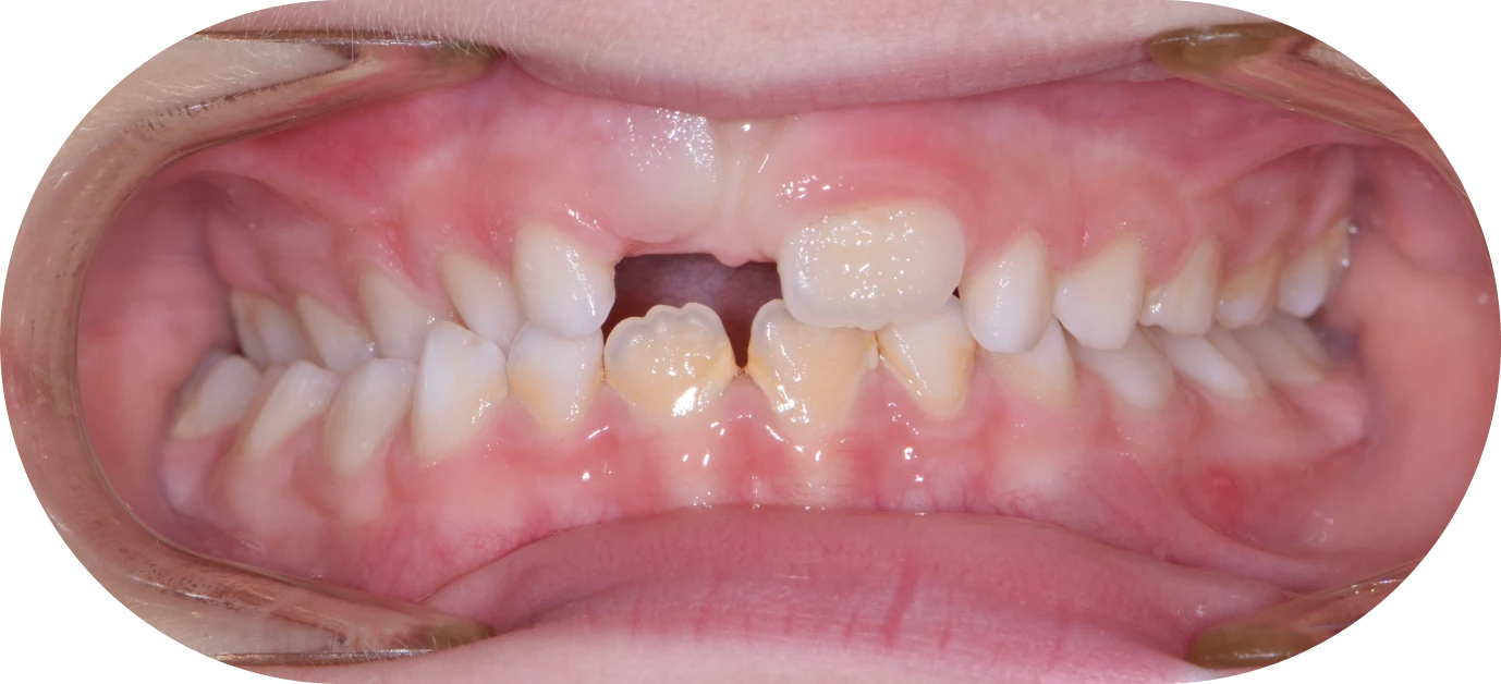
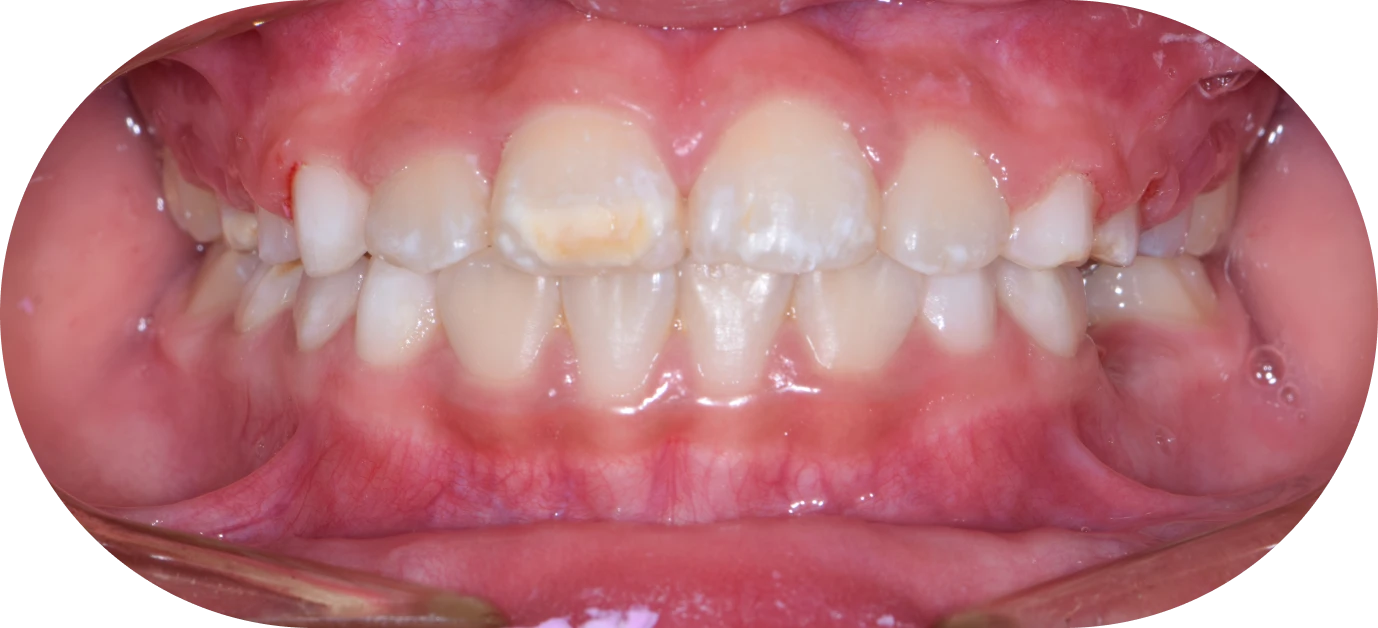
Cas cliniques
Laissez-vous inspirer par les sourires métamorphosés de nos patients. Parcourez nos résultats avant/après pour apprécier l’effet concret de nos traitements sur leur sourire !